삼산동치과 치료 받았던 앞니에 공간이 생기고 부었어요

삼산동치과

 

치아와 잇몸 사이에는
자연스럽게 지켜야 할
공간이 있습니다.

 

이 공간은 치아가 제대로 자리 잡고,
잇몸이 건강하게
유지되도록 돕습니다.

 

만약 이 공간이 제대로 유지되지 않으면,
잇몸에 염증이 생기거나,
치아 주변이 불편하고
아플 수 있습니다.

 

특히 앞니처럼 중요한 부위에서
이런 문제가 발생하면,
미용적인 문제뿐만 아니라
치아의 기능에도 영향을
줄 수 있습니다.

 

이런 경우에는 적절한 치료를 통해
잇몸과 치아의 건강을
되찾는 것이 중요합니다.

 

오늘은 기존 보철물 주변
발적과 공간의 재발로 인해
삼산동치과 참치과에 내원해주신
환자분의 케이스를
소개해 드리도록 하겠습니다.

 

삼산동치과 삼산동치과

 

위 환자분은 기존 크라운 수복물
주변의 발적과 공간의 재발을 주소로
본원에 내원해주셨습니다.

 

보철물의 가장자리가
자연적으로 지켜져야 하는
잇몸의 공간을 침범했을 때,
보통 잇몸에 염증이 생기거나 붓고,
출혈이 발생하는 등의 증상이 나타납니다.

 

이런 상태에서는 치아 주변이 아프거나
불편하게 느껴질 수 있는데,
환자분께서 이러한 소견을
보여주고 있었습니다.

 

그래서 삼산동치과 참치과에서는
기존 보철 제거 후 잇몸을 열어
깊은 위치에 있는 보철물의
끝 부분을 조정하고,
필요한 공간을 확보한 뒤
재보철을 진행하기로 계획을 수립하였습니다.

 

삼산동치과

 

기존에 있던 보철물을 제거했을 때,
보철물의 끝 부분이
잇몸 안쪽 깊은 곳에
위치해 있다는 것을
확인할 수 있었습니다.

 

이는 보철물이 잇몸에
너무 깊게 맞춰져 있어,
정상적인 공간을 침범하게 된
상황을 의미합니다.

 

삼산동치과

 

잇몸을 열었을 때,
보철물의 끝 부분과
치아 뿌리가 있는 뼈 사이에
필요한 최소한의 공간이
충분히 확보되지 않았다는 것을
확인할 수 있었습니다.

 

이 공간이 부족하면,
잇몸과 치아 뿌리 사이의
건강한 균형을 유지하기 어렵고,
염증이나 다른 문제가
발생할 수 있습니다.

 

삼산동치과

 

보철물의 끝 부분과
치아 뿌리가 있는 뼈 사이에는
2.5~3mm 정도의 공간이 필요합니다.

 

이 공간이 충분히 확보되어야
잇몸 조직이 치아 뿌리에
건강하게 붙을 수 있습니다.

 

삼산동치과 삼산동치과

 

보철물을 위한
끝 부분을 설정한 후,
그 부분에서부터 2.5~3mm 만큼의
공간을 만들기 위해,
치아 뿌리가 있는
뼈의 일부를 제거했습니다.

 

이렇게 공간을 확보하면,
보철물이 적절하게 자리 잡을 수 있고,
잇몸이 건강하게 붙을 수 있습니다.

 

이후 봉합하여
잇몸이 안정되도록 했습니다.

 

봉합 후에는 치아와 잇몸이
자연스럽게 회복될 수 있도록
관리가 필요합니다.

 

삼산동치과 삼산동치과

 

수술 후 한 달 뒤,
최종 치아와 유사한
임시치아를 만들어
환자분에게 제공했습니다.

 

이 임시치아는 치아의 기능과
심미적인 부분을 임시로 보완하며,
잇몸이 자리를 잡을 때까지
환자분이 불편함 없이
생활할 수 있도록 도와줍니다.

 

임시치아로 치아와 잇몸이
완전히 회복된 후,
최종 보철물로 교체될 준비를 하게 됩니다.

 

삼산동치과

 

2개월 동안 임시치아와
잇몸 조직이 잘 조화를 이루며
안정적으로 유지되는 것을 확인한 후,
수술 후 3개월에 최종 보철물을
제작하여 자리를 맞췄습니다.

 

최종 보철물은 올세라믹 크라운으로 제작하여
자연스러운 외관과 함께
강한 내구성을 제공했습니다.

 

올세라믹 크라운은 색상과 질감이
자연치아와 유사하여
미적인 측면에서 뛰어난 결과를 보였으며,
환자분에게 편안하고 안정적인
치료를 제공할 수 있었습니다.

 

  삼산동치과 삼산동치과 삼산동치과

<셋팅 후 한달 / 3달 / 6달 뒤>

모든 치료가 끝난 후
정기검진 오시면서
잇몸과 보철 상태를 체크하였습니다.

 

특별한 이상 없이
좋은 결과가 잘 유지되고 있는
모습을 볼 수 있었습니다.

 

삼산동치과

 

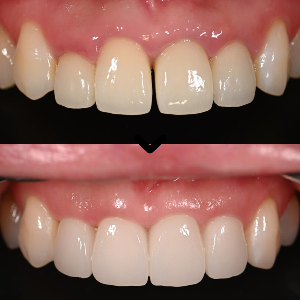
삼산동치과 참치과에서 진행한
치료 전후 사진입니다.

 

환자분께서는 항상 붓고
불편한 증상으로
어려움을 겪으셨지만,
치료 후에는 통증과 불편함이 사라지고,
자연스러운 치아 외형과
편안함을 느끼셨습니다.

 

최종 보철물이 잘 맞아떨어지면서
미소와 기능 모두 개선되었고,
환자분께서는 그 결과에
매우 만족해주셨습니다.

 

삼산동치과

 

이번 사례는 보철물의 가장자리가
잇몸의 자연적인 공간을 침범하여
염증과 불편함을 겪고 있던 사례였으나,
기존 보철물을 제거하고
필요한 공간을 확보한 후,
잇몸과 치아의 건강을 회복시켰습니다.

 

이를 통해 안정적인 마무리를 할 수 있었고
통증과 불편함 없이
자연스럽고 건강한 치아를
되찾을 수 있었습니다.

 

삼산동치과

 

삼산동치과 참치과는
바르고 정밀한 진료,
최선의 진료를 통해서 편안한 기능과
환하게 웃을 수 있는 심미성을 구현하는 것을
참된 치과진료라고 생각합니다.

 

저희 참치과는 그러한
참된 치과 진료를 위해
최선을 다하고 있습니다.

 

[참]의 뜻처럼
과잉 진료, 불법 위임이 없는
정직하고 꼼꼼한 진료를 약속드립니다.

 

앞으로도 저희 삼산동치과 참치과는
환자 한 분 한 분에 맞춘 섬세한 치료로,
치아 건강과 미소를
모두 지킬 수 있도록 하겠습니다.

 

감사합니다.

 

*모든 증례 사진은 의료법 제23조, 제 56조에 의거하여,
당사자의 동의하에 게시하였습니다.
*치료 사진은 모두 본원에서 치료한 환자분의 사진입니다.
*치료 사진은 모두 동일인의 사진이며,
동일조건에서 촬영하였습니다.
*개인의 차이에 따라 시술 및 수술 후 부작용이 발생할 수 있으며,
의료진과 충분한 상담을 받으시기 바랍니다.

 

삼산동치과






문의 전화

052-260-2879

네이버 예약

네이버 예약