울산삼산동치과 교정 치료 후 잇몸이 내려갔어요

울산삼산동치과

 

교정치료는 치열과 교합을 개선하여
심미성과 기능을 함께 향상시키는
대표적인 치료 방법입니다.

 

다만 치아 이동 과정에서
개인의 잇몸 두께나 치조골 상태에 따라
잇몸에 부담이 가해질 수 있으며,
일부 경우 앞니 부위에서
치은퇴축이 발생하기도 합니다.

 

치은퇴축은 치아 뿌리가 노출되면서
시린 증상이나 심미적인 불편을 유발할 수 있어,
단순한 외형 문제를 넘어
구강 건강 전반에 영향을 줄 수 있습니다.

 

이러한 경우 잇몸의 보호 기능을 회복하고
치아를 보다 안정적으로 유지하기 위해
잇몸 이식술이 도움이 되는
치료 방법으로 고려됩니다.

 

오늘은 아래 앞니의 치은퇴축으로 인해
울산삼산동치과 참치과에
내원해 주신 환자분의 케이스를
소개해 드리도록 하겠습니다.

 

울산삼산동치과

 

23.10.30

위 환자분께서는
교정 치료 후 잇몸이 많이 내려가서
걱정이라며 본원에
내원해 주셨습니다.

 

당장은 아니라도 차후에
결국 이를 뽑고 임플란트를
할 수 밖에 없을 것이라는
이야기도 들으셨다고 하셨습니다.

 

확인해 보니,
아래 앞니의 한 치아에 치은퇴축이
비교적 뚜렷하게 진행되어 있었으며,
그로 인해 치아 뿌리 일부가
노출된 상태였습니다.

 

울산삼산동치과

 

23.11.02

울산삼산동치과 참치과는
무엇보다 자연치아를 살리는 것에
더 의미를 두어 잇몸 이식술을
진행하기로 계획을 수립하였습니다.

 

치료에 앞서 치아 사이사이에
치석이 다소 많이 관찰되어,
먼저 스케일링을 시행하여
잇몸 염증을 완화하고
건강한 잇몸 상태를 만드는
과정을 거쳤습니다.

 

이는 이후 진행될 잇몸 이식술의
예후를 높이기 위한
필수적인 단계로,
보다 안정적인 치료 결과를 위한
준비 과정이었습니다.

 

울산삼산동치과

 

23.11.02

이번 수술에서는
잇몸을 조금만 절개하여
자연스럽게 덮어주는 방법을
진행하였습니다.

 

먼저 겉으로 드러난 치아 뿌리 부분을
부드럽게 다듬어 잇몸이
다시 올라오기 좋은 형태로 만들어 주었고,
이어서 치아 표면을 깨끗하게 정리해
잇몸이 잘 붙을 수 있도록 준비하였습니다.

 

울산삼산동치과

 

23.11.02

그리고 적당한 크기의
결합조직을 채취하여
잇몸이 내려간 앞니 부위에 맞게
모양과 두께를 세심하게 조정하여
옮겨주었습니다.

 

이식된 잇몸 조직은
기존 잇몸과 자연스럽게 어우러질 수 있도록
위치를 잡아 주었으며,
치아를 덮고 보호하는 역할을
충분히 할 수 있도록
정밀하게 배치하였습니다.

 

울산삼산동치과

 

23.11.02

이후 이식한 잇몸이
안정적으로 자리 잡을 수 있도록
정밀하게 봉합하였으며,
수술 부위에 불필요한 자극이 가지 않도록
마무리하였습니다.

 

울산삼산동치과

 

23.11.09

그리고 수술 후 약 일주일 뒤 내원하셔서
실밥을 제거하였으며,
이식한 잇몸이 주변 조직과 잘 어우러지며
안정적으로 회복되고 있는
모습을 확인할 수 있었습니다.

 

이후에도 잇몸이 건강하게
유지될 수 있도록
관리 방법에 대해 안내드리며
경과 관찰을 이어갔습니다.

 

울산삼산동치과 울산삼산동치과

 

23.11.20 / 23.11.27

그리고 수술 후 2~3주 뒤
다시 내원하셔서
회복 경과를 확인하였습니다.

 

잇몸이 눈에 띄게 안정되고
회복된 상태로 판단되어,
이후에는 미세모 칫솔을 사용해
잇몸에 자극이 가지 않도록
부드럽게 양치하시는 방법을
안내해 드렸습니다.

 

울산삼산동치과 울산삼산동치과

 

23.12.11 / 24.01.12

또한 이후로도 정기검진 오시면서
잇몸을 확인해 보았을 때
특별한 이상 소견 없이
안정적인 상태가 잘 유지되고 있음을
확인할 수 있었습니다.

 

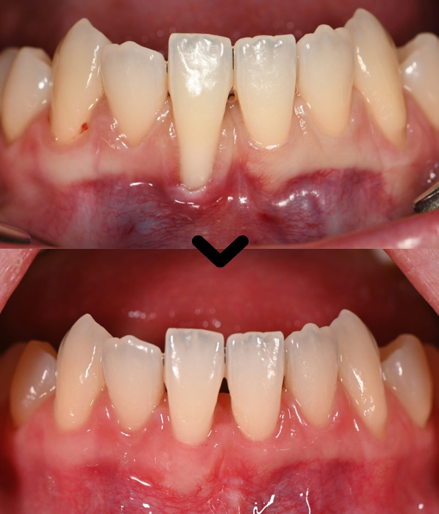
울산삼산동치과

 

23.11.02 / 24.01.12

울산삼산동치과 참치과에서 진행한
치료 전후 사진입니다.

 

환자분께서는 교정 치료 후
잇몸이 내려가 치아를 뽑고
임플란트를 할까 걱정하셨지만,
잇몸이식술을 통해 치아를 살리고
심미적으로도 개선 할 수 있어
매우 만족해 주셨습니다.

 

이처럼 잇몸이 내려갔다고 해서
반드시 치아를 뽑아야 하는 것은 아니며,
상태에 따라 잇몸 이식술을 통해
치아를 살리고 건강한 잇몸 환경을
회복하는 것도 충분히 가능한
치료 방법이 될 수 있습니다.

 

울산삼산동치과

 

이번 사례처럼 교정 후 치은퇴축이 생겨
불편함을 느끼고 계신다면
단순히 방치하기보다는
현재 잇몸 상태를 확실히
확인해 보는 것이 중요합니다.

 

경우에 따라 적절한 잇몸 치료를 통해
자연치아를 보존하고,
기능적·심미적인 개선을
함께 기대할 수 있으므로
조기에 상담을 받아보시는 것을 권해드립니다.

 

울산삼산동치과

 

울산삼산동치과 참치과는
개개인의 구강 상태를 세심하게 진단한 뒤,
가능한 한 자연치아를 살리는 방향으로
치료를 진행하고 있습니다.

 

환자 한 분 한 분의 구강 상태와
생활 습관까지 고려하여
꼭 맞는 치료 계획을 수립하고,
건강한 치아를 유지하실 수 있도록
수준 높은 치과 진료를 약속드립니다.

 

위 사례와 같이 교정 치료 후
잇몸이 퇴축되어 개선을 원하신다면
울산삼산동치과 참치과에서
정밀한 진단을 받아보시길 바랍니다.

 

감사합니다.

 

*모든 증례 사진은 의료법 제23조, 제 56조에 의거하여,
당사자의 동의하에 게시하였습니다.
*치료 사진은 모두 본원에서 치료한 환자분의 사진입니다.
*치료 사진은 모두 동일인의 사진이며,
동일조건에서 촬영하였습니다.
*개인의 차이에 따라 시술 및 수술 후 부작용이 발생할 수 있으며,
의료진과 충분한 상담을 받으시기 바랍니다.

 

울산삼산동치과







문의 전화

052-260-2879

네이버 예약

네이버 예약