울산삼산동치과 아래 앞니 잇몸이 내려간 곳이 있어요

치은퇴축은 단순히 잇몸이
내려가는 현상으로만 생각하기 쉽지만,
실제로는 치아 시림 증상이나
치근 노출, 심미적인 불편까지 이어질 수 있어
조기 관리가 중요한 구강 문제 중 하나입니다.
특히 양치 습관, 치주 질환, 교합 문제 등
다양한 원인에 의해 발생할 수 있기 때문에
개인 상태에 맞는 정밀한 진단과
치료 계획이 필요합니다.
이러한 경우 잇몸이식술은
노출된 치근을 보호하고
잇몸 라인을 회복하는 데
도움을 줄 수 있는
치료 방법으로 고려됩니다.
오늘은 치근면피개로 인해
울산삼산동치과 참치과에 내원해 주신
환자분의 케이스를
소개해 드리도록 하겠습니다.

22.02.24
[치은퇴축]
위 환자분께서는
아래 앞니와 송곳니에
심한 치은퇴축으로 인한
치근면 노출이 확인되었는데요.
이러한 치은퇴축으로 인해
시린 증상과 심미적인 불편감을
느끼고 계셨습니다.

22.02.24
[치은퇴축의 원인 중 하나]
확인해 보니,
아래 앞니가 많이 튀어 나와있었는데요.
이렇게 잇몸이 퇴축되는 원인은
일차적으로 치조골이 얇고
잇몸도 얇아서이겠지만
교합적인 문제도 함께
관여하는 경우가 많습니다.
그래서 교합조정을
먼저 시행하였습니다.

22.02.24
[잇몸이식술 시작]
결합조직이 안정적으로
자리 잡을 수 있도록,
먼저 잇몸 안쪽 보이지 않는 부위에
작은 절개를 만들어 조직이
들어갈 공간을 확보하는
터널 형태의 통로를 형성했는데요.
이렇게 하면 겉으로 드러나는
절개를 줄이면서도 이식 조직이
자연스럽게 위치할 수 있습니다.
또한 잇몸이 내려가면서
노출된 치아 뿌리 부분은
그대로 두기보다,
표면을 약간 정리해
두께를 완만하게 만들어 줍니다.
이는 이식된 잇몸이
해당 부위에 더 밀착되고
안정적으로 붙도록
돕기 위한 과정입니다.

22.02.24
[치근면 처치 진행]
결합조직이 치아 뿌리 표면에
더 잘 붙을 수 있도록,
치근면 처치도 함께 진행합니다.
이 과정에서는 테트라사이클린이라는
약제를 사용해 치아 뿌리 표면을
깨끗하게 정리해 주는데,
이렇게 하면 이식된 잇몸 조직이
보다 안정적으로 자리 잡는 데 도움이 됩니다.


22.02.24
[결합조직 채취]
이후 입천장을 통해
결합조직을 채취하였습니다.

22.02.24
[결합조직 크기 확인]
채취한 결합조직 크기를 확인하여
적절한지 확인하는 과정을 거쳤습니다.


22.02.24
[결합조직 안착 후 봉합 진행]
이후 채취한 결합조직을
노출된 치아 뿌리 부위에 맞게
안정적으로 위치시켜 준 뒤,
움직이지 않도록 정교하게
봉합을 진행하였습니다.

22.03.23
[레진 수복 되어있는 송곳니]
그리고 이번에는 송곳니 부위
치료를 이어서 진행하려고 했습니다.
확인해 보니 해당 송곳니는
잇몸이 내려가면서
나타난 시림 증상 때문에,
이미 레진으로 수복이
되어 있는 상태였습니다.

22.03.23
[최대 치근 피개량 확인]
송곳니 부위는 치료 전
얼마까지 잇몸을 덮어줄 수 있는지를
먼저 예측하는 과정이 필요합니다.
환자마다 잇몸 두께, 치아 위치,
치조골 상태가 다르기 때문에 모든 경우에서
동일한 수준으로 회복되는 것은 아닙니다.
그래서 현재 잇몸 상태와
기존 레진 수복 위치를 함께 고려하여,
어느 정도 범위까지
자연스럽게 덮을 수 있을지 예측한 뒤
치료 계획을 세웠습니다.

22.03.23
[레진 제거 후 치근면 다듬기]
그리고 수복된 레진을 깨끗하게 제거하고
노출된 치아 뿌리 부위의 돌출된 형태를
완만하게 다듬어 두께를 줄여주는
작업도 함께 진행했습니다.

22.03.23
[치근면 처치 시행]
이후 앞니와 같이
테트라사이클린을 통해
치근면 처치를 시행하였습니다.

22.03.23
[결합조직 이식 후 봉합]
그래서 채취한 결합조직 이식 후
봉합하여 송곳니도
치료를 마무리하였습니다.

22.10.31 / 23.02.06 / 24.02.26
[정기검진]
치료가 마무리된 이후에는
6개월, 2년, 3년 뒤 정기 내원하시며
잇몸 상태를 확인해 보았습니다.
경과 관찰 기간 동안 이식된 잇몸 조직은
안정적으로 잘 유지되었고,
추가적인 잇몸 퇴축이나 염증과 같은
특별한 이상 소견도 나타나지 않았습니다.
또한 시림 증상 역시 재발하지 않았으며,
잇몸 라인도 자연스럽게 유지되는
모습을 확인할 수 있었습니다.
이러한 결과는 치료 과정뿐 아니라
이후의 꾸준한 관리와 정기적인 검진이
함께 이루어졌기 때문에
가능했던 것으로 볼 수 있습니다.

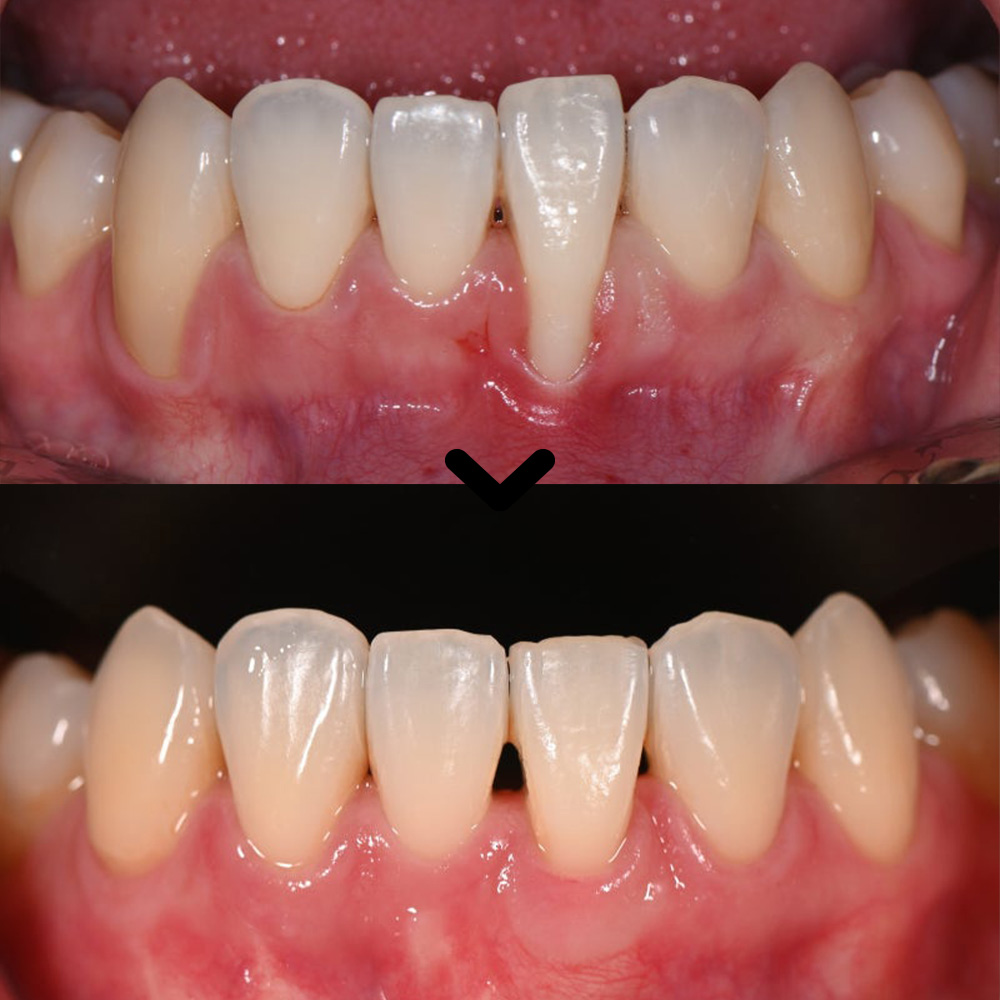
22.02.24 / 24.02.26
울산삼산동치과 참치과에서 진행한
잇몸이식술 치료 전후 사진입니다.
환자분께서는 앞니라 그런지
더 보기 싫고 시려서 불편했는데
잇몸이식술을 통해 불편한 점을
모두 개선할 수 있어 만족해 주셨습니다.
이처럼 치은퇴축은
단순한 심미적인 문제를 넘어
시림 증상이나 치아 뿌리 노출로 인한
불편까지 함께 나타날 수 있기 때문에,
정밀한 원인을 파악한 뒤
적절한 치료를 진행하는 것이 중요합니다.

울산삼산동치과 참치과는
앞니처럼 심미적인 영향을 크게 받는 부위의
치은퇴축 치료에서도 기능적인 회복뿐 아니라
자연스러운 잇몸 라인 형성까지
함께 고려하여 치료 계획을 수립하고 있습니다.
특히 잇몸의 두께, 치아 위치, 교합 상태 등
다양한 요소를 종합적으로 분석한 뒤
환자분께 맞는 치료 방법을 적용해
보다 안정적인 결과를
기대할 수 있도록 돕고 있습니다.
또한 평일 내원이 어려우신 분들을 위해
목요일 야간진료를 운영하고 있어
직장인이나 학생분들도
보다 편한 시간에 진료를 받으실 수 있도록
돕고 있습니다.
바쁜 일정 때문에 치료를 미루고 계셨다면
울산삼산동치과 참치과에서
충분한 상담을 통해 현재 잇몸 상태를
확인해 보시는 것도 좋은 방법입니다.
감사합니다.
*모든 증례 사진은 의료법 제23조, 제 56조에 의거하여,
당사자의 동의하에 게시하였습니다.
*치료 사진은 모두 본원에서 치료한 환자분의 사진입니다.
*치료 사진은 모두 동일인의 사진이며,
동일조건에서 촬영하였습니다.
*개인의 차이에 따라 시술 및 수술 후 부작용이 발생할 수 있으며,
의료진과 충분한 상담을 받으시기 바랍니다.