울산삼산동치과 앞니에 물집이 잡혔어요

울산삼산동치과

 

신경치료를 받은 치아는
통증이 사라졌다고 해서
모두 건강한 상태를 유지하는 것은 아닙니다.

 

신경이 제거된 치아는
혈관과 신경 공급이 차단되어
수분 함량이 감소하고,
시간이 지나면서 점차 약해질 수 있습니다.

 

이로 인해 겉으로 보기에는
멀쩡해 보여도 내부 균열이 진행되거나,
강한 저작 압력에 의해
파절이 발생하는 경우가 있습니다.

 

특히 신경치료 이후에는
치아 구조가 일부 제거된 상태이기 때문에
적절한 보철 수복이 이루어지지 않거나,
장기간 사용으로 피로가 누적되면
파절 위험이 높아질 수 있습니다.

 

치아에 금이 가거나
뿌리까지 파절이 진행되면
세균이 깊숙이 침투하게 되고,
그 결과 염증이 뿌리 끝 주변으로 번지면서
농양이 형성될 수 있습니다.

 

이처럼 이미 신경치료를 받았던 치아라도
구조적인 손상과 감염이 동반된다면
보존이 어려워 발치를 고려해야 하는
상황에 이르게 됩니다.

 

오늘은 앞니에 생긴 농양으로 인해
울산삼산동치과 참치과에 내원해 주신
환자분의 케이스를
소개해 드리도록 하겠습니다.

 

울산삼산동치과

 

22.06.03

위 환자분께서는 앞니 잇몸에 생긴
물집으로 인한 불편감을 느끼고
본원에 내원해 주셨습니다.

 

해당 치아는 이미 신경치료가 완료된 상태였으나,
정밀 검진 결과 치아에 파절이 발생해 있었고
그 틈을 통해 세균이 침투하면서
감염이 진행된 것으로 확인되었습니다.

 

그로 인해 뿌리 끝 부위에
염증이 형성되었고,
농양이 잡히면서 잇몸에 물집 형태로
나타난 상태였습니다.

 

해당 치아는 보존이 어려운 상태로 판단되어
발치를 통해 염증을 먼저 제거해야 했습니다.

 

이에 울산삼산동치과 참치과에서는
감염 부위를 충분히 정리한 뒤,
기능과 심미 회복을 위해
발치 후 임플란트 식립을 진행하는 방향으로
치료 계획을 수립하였습니다.

 

울산삼산동치과

 

22.06.03

먼저 발치를 진행 하였습니다.

 

위쪽 앞니의 경우에 발치 후
아무 처치 없이 두는 것은
단순 경과 관찰이 아니라
사실상 방치에 가까운데요.

 

특히 앞니 부위는 바깥쪽 뼈가 얇기 때문에,
이미 소실이 있는 상태라면
시간이 지날수록 잇몸과 뼈가
더 많이 꺼질 수 있습니다

 

이는 이후 임플란트 식립 시
심미적인 문제로 이어질 가능성이 큽니다.

 

또한 감염이 심했던 발치와라면
더 신중한 접근이 필요합니다.

 

항생제를 복용하면서 염증을 조절하고,
발치 후에는 내부에 남아 있는
감염성 육아조직을 철저히 제거합니다.

 

이후 테트라사이클린으로 해당 부위를 세척해
세균과 독소를 줄이는 과정을 거쳐야 합니다.

 

울산삼산동치과 울산삼산동치과 울산삼산동치과

 

22.06.03

발치 후 내부의 염증을 깨끗하게 소파 후
임플란트 식립을 진행하였습니다.

 

울산삼산동치과

 

22.06.03

이후 치아를 뽑고 난 자리의 빈 공간에
뼈 이식재를 채워 넣어,
잇몸뼈가 무너지지 않도록 보강해 주었습니다.

 

울산삼산동치과 울산삼산동치과

 

22.06.03

그리고 바깥쪽 잇몸이 얇은 부위에는
결합조직 이식술을 함께 시행해 주었습니다.

 

울산삼산동치과 울산삼산동치과

 

22.06.03 / 22.09.24

이렇게 수술이 끝난 뒤
봉합을 진행하여 마무리하였습니다.

 

그리고 일주일 후 내원하여
실밥을 제거하였으며,
잇몸 상태를 확인한 뒤 임시치아를 제작하여
앞니 부위의 기능과 심미를
우선적으로 회복해 드렸습니다.

 

울산삼산동치과

 

22.10.19

이렇게 임시치아 상태를 유지한 뒤,
잇몸 라인이 안정되고
모양이 자연스럽게 정리된 것을
확인하였습니다.

 

이를 통해 최종 보철 제작을
진행하기로 하였습니다.

 

울산삼산동치과

 

22.11.29

기존 제작되었던 임시치아를 토대로
형태와 길이를 참고하여
최종 보철물을 제작하였습니다.

 

앞니 부위인 만큼 심미적인 요소를
더욱 세심하게 고려하였으며,
주변 치아와의 색상과 투명도, 질감까지
조화롭게 어우러질 수 있도록 맞추어
자연스러운 결과를 완성하였습니다.

 

울산삼산동치과

 

23.03.28

이렇게 치료가 마무리 후,
정기검진을 위해 6개월 뒤
울산삼산동치과 참치과에 내원하셨습니다.

 

검진 결과 특별한 이상 소견은 없었으며,
임플란트 주변 잇몸과 뼈도
안정적으로 유지되고 있는 것을
확인할 수 있었습니다.

 

울산삼산동치과

 

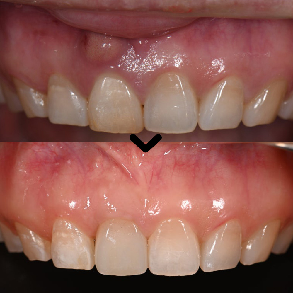
22.06.03 / 23.03.28

울산삼산동치과 참치과에서 진행한
치료 전후 사진입니다.

 

환자분께서는 감염된 치아로 인해
반복적으로 물집이 생기고
불편함을 호소하셨으나,
치료 이후 잇몸의 물집도 사라지고
기능과 심미 모두 안정적으로 회복되어
만족해 주셨습니다.

 

이처럼 신경치료를 받았던 치아라도
파절과 감염이 동반된다면
적절한 진단과 계획이 중요하며,
감염을 철저히 정리한 뒤 진행한
임플란트 치료를 통해
충분히 안정적인 회복을 기대할 수 있습니다.

 

울산삼산동치과

 

울산삼산동치과 참치과는
기능적이고 아름다운 앞니 치료를 좋아합니다.

 

바르고 정밀한 진료, 최선의 진료를 통해서
편안한 기능과 환하게 웃을 수 있는
심미성을 구현하는 것을
참된 치과진료라고 생각합니다.

 

본원에서는 그러한 참된 치과 진료를 위해
최선을 다하겠습니다.

 

위 사례와 같이 치아에 생긴 물집으로 인해
불편함을 겪고 계신다면
참치과에서 정밀한 진단을 받아보시길 바랍니다.

 

감사합니다.

 

*모든 증례 사진은 의료법 제23조, 제 56조에 의거하여,
당사자의 동의하에 게시하였습니다.
*치료 사진은 모두 본원에서 치료한 환자분의 사진입니다.
*치료 사진은 모두 동일인의 사진이며,
동일조건에서 촬영하였습니다.
*개인의 차이에 따라 시술 및 수술 후 부작용이 발생할 수 있으며,
의료진과 충분한 상담을 받으시기 바랍니다.

 

 







문의 전화

052-260-2879

네이버 예약

네이버 예약