울산삼산동치과 역류성 식도염 때문에 치아가 짧아졌어요

역류성 식도염은
위산이 식도로 역류하면서
다양한 합병증을 유발하는 질환으로,
구강 내 환경에도 직접적인
영향을 미칠 수 있습니다.
반복적인 산 노출은
치아의 법랑질을 점진적으로 침식시키며,
시간이 지남에 따라 치아 마모와
형태 변화를 초래합니다.
특히 앞니는 심미적 중요도가
높은 부위로,
산에 의한 침식과 마모가 누적될 경우
치아 길이가 짧아지고 형태가 변형되어
심미적 만족도가
크게 저하될 수 있습니다.
또한 이러한 변화는 발음이나
저작 기능에도 영향을
미칠 수 있습니다.
이와 같은 경우
단순한 보철 수복만으로는
자연스럽고 안정적인 결과를 얻기 어려워,
잇몸과 치아의 조화를 함께
고려한 치료 계획이 필요합니다.
오늘은 앞니의 침식 및 마모로 인해
울산삼산동치과 참치과에 내원해 주신
환자분의 케이스를
소개해 드리도록 하겠습니다.

위 환자분께서는
역류성 식도염으로 인한
치아 침식과 마모가 함께 일어나
짧아진 앞니를 심미적으로 수복하기 위해
본원에 내원해 주셨습니다.

정밀한 진단을 위해
진단 모형을 제작하고 진단 왁스업을 시행한 뒤,
환자분과 함께 치료 목표와 방향에 대해
충분히 상의하였습니다.
마모로 인해 앞니의 뒤쪽 치질 손상이
비교적 심한 상태로 확인되어,
기능적 안정성과 장기적인 예후를 고려했을 때
크라운 치료가 필요한 상황이었습니다.

하지만 치아가 마모되면서
보상성 맹출이 동반되어
치아와 잇몸선이 함께 이동한 상태로,
임상적으로 치관 길이가 충분히 확보되지 않아
단순 크라운 수복만으로는
자연스러운 심미 회복에 한계가 있는
상황이었습니다.
이에 울산삼산동치과 참치과에서는
전치부의 잇몸선과
치아 비율을 조화롭게 개선하고,
안정적인 보철 공간을 확보하기 위해
심미적 치관 확장술을 선행한 후
크라운 치료를 계획하였습니다.


크라운의 길이는 앞니에서
가장 자연스럽게 보이는 평균 길이인
약 10mm를 기준으로 계획하였으며,
이를 위해 치아와 잇몸이 건강하게 유지될 수 있도록
필요한 공간인 약 3mm를
충분히 확보하는 것을 치료 목표로 하였습니다.
이러한 기준은 단순히 앞니를
예쁘게 보이게 하기 위한 목적뿐 아니라,
치료 후 잇몸 염증이나
불편감이 생기지 않도록 하고
오래도록 안정적으로 크라운을
사용할 수 있게 하기 위한
중요한 요소입니다.

이렇게 잇몸을 박리한 뒤
필요한 공간을 확보하기 위해
치아를 지지하고 있는 뼈를 정밀하게 다듬는
골삭제를 진행하였고,
치아 길이와 잇몸선의 균형을 맞춘 후 봉합하여
잇몸이 안정적으로 회복될 수 있도록 하였습니다.

이후 약 일주일 뒤
실밥을 제거하였으며,
잇몸 회복 상태를
확인하였습니다.

그리고 약 2개월 뒤,
치유가 충분히 이루어진 것을 확인한 후
전치부 잇몸의 안정성과 심미성을
더욱 높이기 위해 순소대 절제술을
시행하였습니다.
순소대 절제술을 진행한 이유는,
윗입술과 잇몸을 연결하는 조직의 당김을 줄여
웃거나 말할 때 잇몸이 과도하게 당겨
올라가는 것을 예방하고,
치관 확장 후 형성된 잇몸 라인이
다시 내려가거나 불안정해지는 것을
막기 위함입니다.
이를 통해 치료 후 잇몸 형태를
보다 자연스럽고 안정적으로
유지할 수 있습니다.

그리고 약 3개월 뒤 임시치아를 확인해 보았으며,
잇몸 형태가 안정적으로 유지되고 있는지와
치아 길이, 배열, 심미성이 계획한 대로
잘 반영되고 있는지를 함께 점검하였습니다.

특별한 이상 없이 잘 치유되어
최종적으로 치아를 다듬고
최종 보철이 나올 수 있게
인상 채득을 시행하였습니다.
이렇게 채득한 인상을 바탕으로
환자분의 치아 형태와 교합, 심미성을 고려한
맞춤형 최종 보철물을 제작하였습니다.
그 결과, 앞니 길이와
잇몸 라인이 조화롭게 어우러진
비교적 바람직한 심미성을
확보할 수 있었으며,
자연스러운 미소 회복에
도움이 되었습니다.


옆으로 턱을 움직이거나
앞으로 내밀었을 때에도
앞니가 자연스럽게 턱의
움직임을 유도해 주고 있었습니다.
또한 그 과정에서 어금니는
서로 부딪히지 않도록 분리되어
치아 전체에 무리가 가지 않는
안정적인 맞물림 상태를
확인할 수 있었습니다.

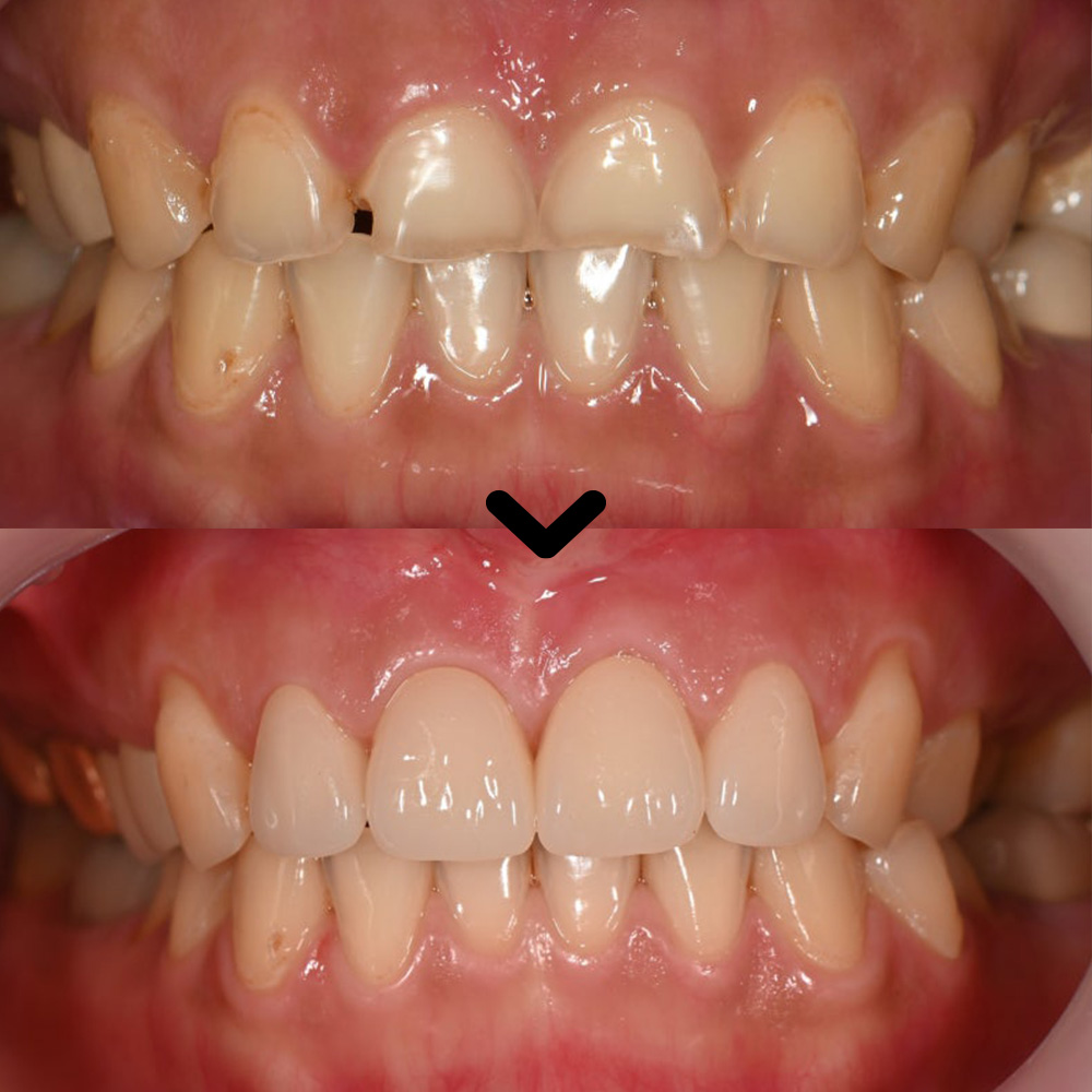
울산삼산동치과 참치과에서 진행한
치료 전후 사진입니다.
환자분께서는 앞니의 마모로 인해
비심미적이고 크게 웃지도 못하셨는데
치료 이후에는 앞니의 길이와 형태가
자연스럽게 회복되어
편안하게 웃으실 수 있게 되었고,
전반적인 결과에 대해 만족해 주셨습니다.
이처럼 앞니의 마모와 보상성 맹출로 인해
치아가 짧아 보이거나
잇몸 라인이 무너진 경우에는,
단순 보철 치료보다는
잇몸과 뼈의 위치까지 함께
고려한 치료가 필요할 수 있습니다.
이를 통해 기능적·심미적으로
모두 만족스러운 결과를
기대할 수 있습니다.

울산삼산동치과 참치과는
풍부하고 다양한 임상 경력을 갖춘
전문의가 진단부터 관리까지
1:1 책임진료를 진행하고 있습니다.
또한 [참]의 뜻처럼 과잉 진료를 지양하고
꼭 필요한 치료만을 제안하며,
환자분의 치아를 오래 건강하게 지킬 수 있는
정직하고 신뢰할 수 있는
진료를 추구하고 있습니다.
위 사례와 같이 앞니의 마모로 인해
심미적인 고민을 겪고 계신다면
정밀한 진단과 체계적인 치료가 이루어지는
울산 삼산동치과 참치과에서
현재 상태에 맞는 적절한 치료 방법을
상담받아 보시길 권해드립니다.
감사합니다.
*모든 증례 사진은 의료법 제23조, 제 56조에 의거하여,
당사자의 동의하에 게시하였습니다.
*치료 사진은 모두 본원에서 치료한 환자분의 사진입니다.
*치료 사진은 모두 동일인의 사진이며,
동일조건에서 촬영하였습니다.
*개인의 차이에 따라 시술 및 수술 후 부작용이 발생할 수 있으며,
의료진과 충분한 상담을 받으시기 바랍니다.