울산삼산동치과 잇몸이 내려가서 보기 싫어요

치아는 단순히 음식을 씹는 기능을 넘어,
발음과 얼굴의 균형, 자신감 있는
미소까지 좌우하는 중요한 역할을 합니다.
하지만 여러 가지 원인으로 인해
잇몸이 점차 내려앉는
치은퇴축(치근면피개) 현상이
나타날 수 있습니다.
잇몸이 줄어들면
치아 뿌리가 노출되어
시린 증상이 생기고,
심한 경우 치아가 흔들리거나
외관상 보기에도 불편함을 줄 수 있습니다.
잇몸이식을 통한 치료는
이러한 문제를 완화하고,
잇몸의 건강과 심미성을 회복하는 데
도움을 주는 방법 중 하나입니다.
오늘은 치은퇴축으로 인해
울산삼산동치과 참치과에 내원해주신
환자분의 케이스를
소개해 드리도록 하겠습니다.

위 환자분께서는
치아의 뿌리 부분이 많이 노출되어
차갑거나 뜨거운 음식에 민감하게 반응하는
불편감이 나타나고 있었습니다.
또한 잇몸이 내려앉아
치아가 길어 보이면서
심미적으로도 만족스럽지 못한
상태였습니다.
확인해 보니,
위 앞니쪽 4개의 치아에
치은퇴축이 꽤나 진행되어있었습니다.
따라서 환자분께는
잇몸이식 치료를 통해
노출된 치근을 덮고,
잇몸 라인을 회복시켜
기능적·심미적 개선을 돕는 방법을
안내드렸습니다.

우측 먼저 진행을 하기로
하였습니다.
기존에 메워져 있던 레진은
잇몸이 내려가 있을 것으로
예상되는 부분 아래까지
깨끗하게 제거해 주었습니다.
그 뒤에 잇몸을 크게 절개하지 않고,
안쪽에 작은 통로를 만들어
잇몸이식이 잘 자리 잡을 수 있도록
준비했습니다.
그리고 적절한 크기의
결합조직을 채취하였습니다.

잇몸 속에 만든 작은 통로를 통해
필요한 잇몸조직을 알맞게 넣어 준 뒤,
그 위쪽 잇몸을 함께 위로 당겨
치아 머리 쪽으로 덮어주었습니다.
즉, 노출된 치아 뿌리를
새 잇몸과 기존 잇몸이 같이 감싸도록
옮겨 놓은 과정이라고 보시면 됩니다.

이후 일정한 회복 기간을 거친 뒤,
이식술을 받은 지 약 2달 후에 다시 내원하셔서
치유 상태를 확인했습니다.
잇몸은 안정적으로 자리 잡았고,
노출되었던 치아 뿌리 부분도 잘 덮여
심미성과 기능 모두 개선된 모습을
확인할 수 있었습니다.

이후 왼쪽 부위도
치료를 진행하였습니다.
확인해 보니 오른쪽보다
잇몸이 더 많이 내려가
치아 뿌리 노출이 심한 상태였는데요.
오른쪽과 마찬가지로 잇몸 속에
작은 통로를 만들었습니다.

이후 결합조직을 채취하여
만들어 둔 통로에 넣어 주었습니다.
그 위로 잇몸을 당겨 덮어줌으로써
노출된 치아 뿌리를 보호하고,
잇몸이 건강하게
자리 잡을 수 있도록 했습니다.

왼쪽 부위도 충분한 회복기간을 가진 뒤
이식술을 받은 지
약 2달 후에 내원하여
경과를 확인했습니다.
검진 결과, 잇몸은 특별한 염증 반응 없이
매끄럽게 아물고 있었으며,
치아 뿌리도 안정적으로 덮여
건강한 회복 과정을 보이고 있었습니다.

<술 후 4달 뒤>
환자분께서는 정기적으로 내원하시면서
잇몸이식술 부위를 체크하였습니다.
내원 시마다 잇몸의 두께와 색,
치아 뿌리 덮임 상태 등을 점검하였고,
특별한 문제 없이
안정적으로 유지되는 것을
확인할 수 있었습니다.

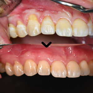
울산삼산동치과 참치과에서 진행한
치료 전후 사진입니다.
환자분께서는 웃을 때 잘 보이는
앞니 잇몸이 많이 내려가 있어
치아가 길어 보이고,
외관상 보기 싫어
고민이 많으셨습니다.
이번 잇몸이식술을 통해
노출된 치아 뿌리를 덮고,
자연스러운 잇몸 라인을 회복하여
심미적으로도 만족스러운 결과를
얻을 수 있었습니다.

이번 사례는 치아 뿌리
노출이 심한 경우였지만,
잇몸이식술을 통해 다행히
거의 완벽하게 뿌리를 덮을 수 있었습니다.
이처럼 치은퇴축으로 인해
시림이나 심미적인 불편을 겪고 계시다면,
울산삼산동치과 참치과에서 진행하는
잇몸이식술을 통해
개선을 기대해보실 수 있습니다.

울산삼산동치과 참치과에서는
풍부한 노하우로 다양한 케이스
환자분들의 성공적인 잇몸 수술
결과를 가지고 있으며,
치료 후에도 정기적인 검진을 통해
관리를 철저히 진행하고 있습니다.
참치과는 [참]의 뜻처럼
과잉 진료, 불법 위임이 없는
정직하고 꼼꼼한 진료를 약속드립니다.
앞으로도 참치과는 환자분들의
소중한 치아와 잇몸을 지키기 위해
최선을 다하겠습니다. 감사합니다.
*모든 증례 사진은 의료법 제23조, 제 56조에 의거하여,
당사자의 동의하에 게시하였습니다.
*치료 사진은 모두 본원에서 치료한 환자분의 사진입니다.
*치료 사진은 모두 동일인의 사진이며,
동일조건에서 촬영하였습니다.
*개인의 차이에 따라 시술 및 수술 후 부작용이 발생할 수 있으며,
의료진과 충분한 상담을 받으시기 바랍니다.