울산임플란트 앞니가 내려오고 보기 싫어요

치아는 단단해 보이지만
잇몸과 치조골에 의해 지지되기 때문에
잇몸 건강이 매우 중요합니다.
특히 치주질환이 진행되면
잇몸과 치아를 지지하는 뼈가
점차 소실되면서 치아가 흔들리거나
위치가 변하는 증상이 나타날 수 있습니다.
앞니 부위에서 이러한 변화가 발생할 경우
치아가 아래로 내려오거나
서로 벌어지는 현상이 나타나
심미적인 불편뿐만 아니라
기능적인 문제까지 이어질 수 있습니다.
초기에는 잇몸치료나
보존적 치료로 관리가 가능하지만,
치주질환이 심하게 진행된 경우에는
치아를 유지하기 어려워
발치가 필요하기도 합니다.
이러한 상황에서는
발치 후 임플란트 식립을 통해
치아의 기능과 심미성을 회복하는
치료를 고려할 수 있습니다.
오늘은 앞니의 심미적인 문제로 인해
참치과에 내원해 주신
환자분의 케이스를
소개해 드리도록 하겠습니다.


21.07.19
[울산임플란트 계획 수립]
위 환자분께서는
30대 후반의 여성분이셨는데,
앞니의 비심미적인 부분으로 인해
본원에 내원해 주셨습니다.
확인해 보니,
앞니 부위의 치주질환이 진행되면서
잇몸뼈가 손상되었고,
그 영향으로 앞니가 아래로 내려오며
치아 사이가 벌어지는 상태였습니다.
젊은 여성분이시고 사회생활을 하고 계신 만큼
능적인 회복뿐만 아니라 앞니의 심미적인 부분이
무엇보다도 중요한 관심사였습니다.
그래서 본원에서는
손상이 심한 앞니는 발치를 진행하고
울산임플란트 식립을 통해
앞니의 기능과 심미성을 함께
회복하는 방향으로
치료 계획을 수립하였습니다.

21.10.08
[치주질환으로 인한 손상]
발치를 진행한 후 잇몸을 열어 확인해 보니,
예상했던 것처럼 치주질환의 영향으로
치조골이 상당히 손상된 상태임을
확인할 수 있었습니다.

21.10.08
[염증성 육아조직 제거 및 항생제 도포]
먼저 염증으로 인해 형성된
육아조직을 깨끗하게 제거하였으며,
남아 있을 수 있는 세균과 염증을 줄이기 위해
잇몸뼈 부위에 테트라사이클린을 도포하여
조직을 안정시키는 과정을 진행했습니다.
테트라사이클린은 항생제 성분의 약제로,
치주 치료 과정에서 세균을 억제하고
오염된 치아 뿌리 표면과
잇몸뼈 주변 환경을 보다 깨끗하게 만들어
조직 회복에 도움을 주기 위해 사용됩니다.

21.10.08
[임플란트 식립]
그리고 울산임플란트를 보철적으로
바람직한 위치에 식립을 진행하였습니다.

21.10.08
앞니처럼 눈에 잘 보이는 부위는
임플란트를 심지 않는 인공치 부위라고 하더라도
잇몸뼈의 높이를 충분히 회복해 주는
수직적 골증강이 중요합니다.
그래야 잇몸 라인이 자연스럽게 형성되어
보다 심미적인 보철 수복이 가능하기 때문입니다.

21.10.08
[안정적인 결과를 위해]
앞니 부위는 치료 후 잇몸 모양과 라인이
자연스럽게 유지되는 것이 중요하기 때문에,
유용하게 사용되는 차폐막을 적용했습니다.
또한 치료 과정에서 잇몸 경계가
크게 변하는 것을 예방하고,
인공치 부위의 잇몸 볼륨을 충분히 만들어 주기 위해
입천장 앞쪽에서 결합조직을 채취했습니다.
채취한 조직을 필요한 위치에 이식한 뒤,
잇몸 조직이 안정적으로 자리 잡을 수 있도록
봉합을 진행하며 수술을 마무리했습니다.

22.04.15
이렇게 수술이 마무리 된 후
6개월이 지나 확인해 보았을 때,
치조제가 잘 치유된 것을 볼 수 있었습니다.
잇몸을 열었을 때,
잘 증강된 치조골도 확인할 수 있었습니다.

22.04.15
[지대주 및 임시치아 제작]
임시치아를 제작하기 위해
먼저 임플란트 위에 지대주를 연결했습니다.
또한 인공치 부위의
잇몸 볼륨을 보강하기 위해
입천장 뒤쪽에서 결합조직을 채취하여
필요한 부위에 이식했습니다.
이후 조직이 안정적으로
자리 잡을 수 있도록
봉합을 진행하였고,
임시치아를 제작해 장착해 드렸습니다.

22.05.13 / 22.05.20
[맞춤형 지대주 및 임시 보철물 제작]
임시치아는 두 차례에 걸쳐
형태를 세밀하게 조정하며
잇몸이 자연스럽게 자리 잡도록 했습니다.
이 과정을 통해 인공치 부위의
잇몸 모양과 치아가 잇몸에서
자연스럽게 올라오는 형태를
안정적으로 형성할 수 있었습니다.
이후 정밀한 보철 제작을 위해
구강 상태를 본떠 인상을 채득하였고,
환자분의 잇몸 형태에 맞춘 맞춤형 지대주와
임시 보철물을 제작하였습니다.

22.05.20 / 22.07.01
[지르코니아 지대주]
앞니는 심미적으로 매우 중요한 부위이기 때문에
잇몸 라인과 치아 색상이
보다 자연스럽게 표현될 수 있도록
지르코니아 맞춤형 지대주를 제작하였습니다.
또한 최종적인 임시 보철물을 제작하였는데,
환자분께서 임시치아의 형태를
매우 만족해주셨습니다.

22.07.08 / 22.07.15
그래서 최종 임시 보철물의 형태 그대로
최종 보철을 제작하였습니다.
최종 보철물에서는 앞니가 턱의 움직임을
자연스럽게 안내해 주어,
입을 움직일 때 뒤쪽 어금니들이
서로 부딪히지 않도록 하는
안정적인 교합을 확인할 수 있었습니다.

22.08.19 / 23.04.21 / 23.11.10
이렇게 치료가 마무리된 후에도 환자분께서는
술 후 1개월, 1년, 2년까지 꾸준히 내원하시며
정기적인 검진과 관리를 받고 계십니다.
특별한 문제 없이
적절한 심미성을 잘 유지하고 있답니다.

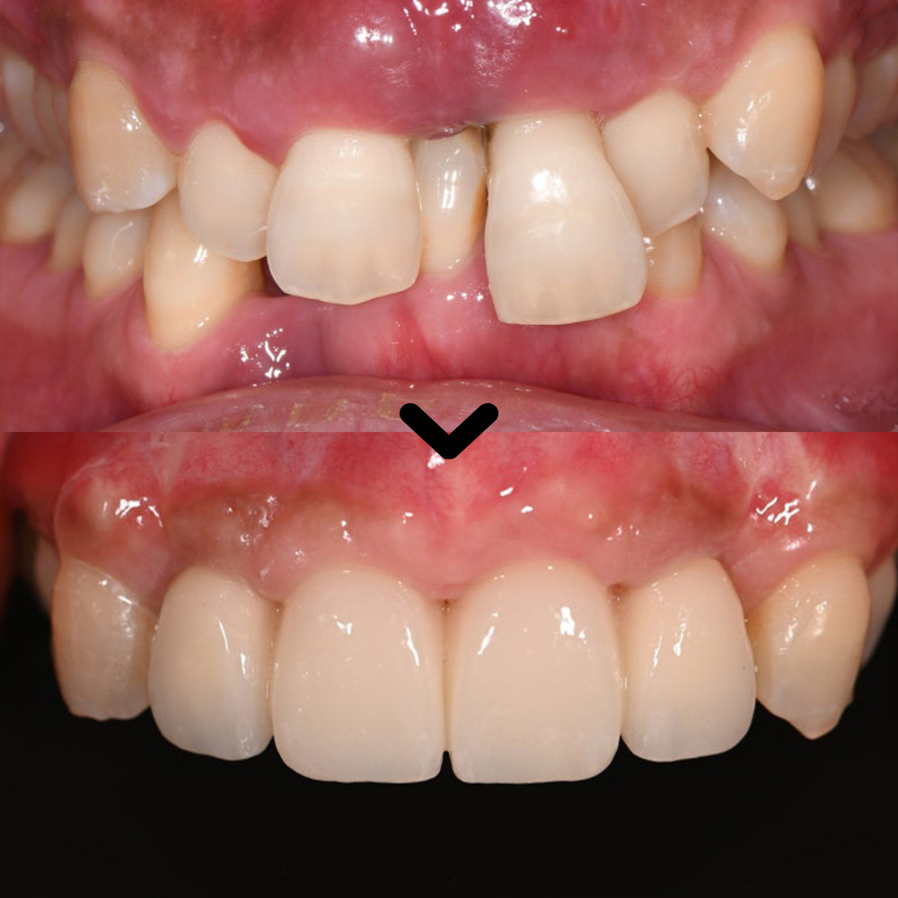
21.07.19 / 23.11.10
참치과에서 진행한
울산임플란트 치료 전후 사진입니다.
환자분께서는 앞니의 비심미적인 요소로 인해
많은 불편함을 겪고 계셨으나,
치료 후 자연스러운 앞니 형태와
심미적인 개선에 대해
매우 만족해 주셨습니다.
이처럼 앞니 부위는 기능적인 회복뿐만 아니라
심미적인 부분까지 함께 고려한
치료 계획이 중요합니다.

참치과에서는 기능적이고
아름다운 앞니 치료를 좋아합니다.
빠르고 정밀한, 그래서 편안한
임플란트 치료를 한다고 자부합니다.
또한 최선의 진료를 통해서 편안한 기능과
환하게 웃을 수 있는 심미성을 구현하는 것을
참된 치과 진료라고 생각합니다.
저희 참치과는 그러한
참된 치과 진료를 위해
최선을 다하고 있습니다.
위 사례와 같이 앞니의 치주질환으로 인해
심미적, 기능적인 부분을 개선하고 싶다면
참치과에서 울산임플란트를 통해
회복해 보시는 게 어떨까요~?
감사합니다.
*모든 증례 사진은 의료법 제23조, 제 56조에 의거하여,
당사자의 동의하에 게시하였습니다.
*치료 사진은 모두 본원에서 치료한 환자분의 사진입니다.
*치료 사진은 모두 동일인의 사진이며,
동일조건에서 촬영하였습니다.
*개인의 차이에 따라 시술 및 수술 후 부작용이 발생할 수 있으며,
의료진과 충분한 상담을 받으시기 바랍니다.