울산삼산동치과 앞니 잇몸이 내려가서 시려요

우리는 흔히 치아 건강을 이야기할 때
충치나 교정만 떠올리지만,
사실 잇몸 역시 치아를 지탱하는 데
매우 중요한 역할을 합니다.
특히 앞니 부위는 미소나 대화 중에
가장 잘 보이는 부위이기 때문에,
잇몸이 내려가거나 치근이 드러나는
치근면 노출이 생기면
심미적인 문제뿐 아니라 시린 증상이나
잇몸 염증으로도 이어질 수 있습니다.
이러한 경우 단순한 스케일링이나
관리만으로는 회복이 어렵고,
잇몸을 다시 덮어주는 잇몸이식술을 통해
노출된 치근을 보호하고 잇몸선을 복원하는
치료가 필요할 수 있습니다.
오늘은 왼쪽 위 치아의
치근면피개로 인해
울산삼산동치과 참치과에
내원해주신 환자분의 케이스를
소개해 드리도록 하겠습니다.

위 환자분은 앞니 부위의 잇몸이
점점 내려가면서 시린 증상으로
내원해 주셨습니다.
왼쪽 위 앞니의 잇몸이
점점 내려가 시림이 심하고,
웃을 때 잇몸 라인이 고르지 않아
불편하다고 하셨습니다.
단순히 미용적인 문제 뿐 아니라
치근이 노출된 상태로 방치될 경우,
더 깊은 잇몸 퇴축과 치주 질환으로
이어질 수 있기 때문에
조기 치료가 필요했습니다.
그래서 울산삼산동치과 참치과에서는
해당 치아의 잇몸이식술을 시행하여
잇몸 라인을 복원하기로 하였습니다.

잇몸을 절개하지 않고,
잇몸 속에 얇은 통로를 만드는
방식을 사용했습니다.
쉽게 말해,
잇몸 겉을 크게 자르지 않고
잇몸 안쪽 공간만 살짝 벌려
이식 조직을 넣는 방법입니다.
이렇게 하면 출혈과 통증이 줄고,
회복도 더 빠르며
잇몸 라인이 자연스럽게 이어지는
장점이 있습니다.

치근면의 불룩하게 나온 부분을
부드럽게 다듬어 평평하게
만들어 주었습니다.
즉, 뿌리 표면의
돌출된 부분을 정리해
잇몸이 이 부위에
더 잘 밀착될 수 있도록 한 것입니다.

치근면을 테트라사이클린 약제를 이용하여
표면을 매끄럽게 만들고,
잇몸이 새로 자리 잡을 수 있도록
살균 및 세정 처리를 해주었습니다.

그 다음 적절한 크기와 두께의
결합조직을 채취하였습니다.

터널 내에 이식하고
미세한 봉합으로 고정했습니다.
치료 중 사진에서도 확인되듯이,
봉합은 매우 세밀하게
이루어졌습니다.
잇몸을 과도하게 당기지 않으면서
이식조직이 자연스럽게
자리 잡도록 조정했고,
교합 간섭도 확인하여 수술 부위에
불필요한 압력이 가지 않도록
주의했습니다.

수술 직후에는 약간의
부기와 출혈이 있었으나,
일주일 정도 후부터 안정적으로
아물기 시작했습니다.
한 달 후 내원 시에는
잇몸의 색이 정상화되고,
이식 부위와 주변 잇몸의 경계가
거의 구분되지 않을 정도로
자연스러워졌습니다.

수술 6개월 후 촬영된 사진을 보면,
잇몸 라인이 안정적으로 유지되고
두께감이 생긴 것을
확인할 수 있습니다.
초기의 치근 노출 부위가
완전히 덮였으며,
시림 증상 또한 사라졌습니다.

1년, 그리고 1년 8개월 관찰에서도
잇몸 라인은 변형 없이
유지되고 있습니다.
이식한 결합조직이 안정적으로
자리를 잡으면서 잇몸 두께가
충분히 확보된 덕분에
장기적으로도 치은 퇴축이
재발할 가능성이 낮습니다.

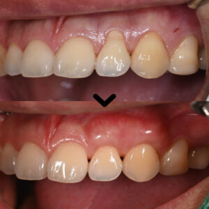
울산삼산동치과 참치과에서 진행한
치료 전후 사진입니다.
환자분께서는
양치할 때마다 찌릿하던 느낌이 없어지고
심미적으로도 개선할 수 있어
매우 만족해주셨습니다.
이식 후 관리에서 가장 중요한 점은
올바른 양치 습관입니다.
너무 세게 칫솔질하면
다시 잇몸이 마모될 수 있으므로,
부드러운 칫솔모로 가볍게
원형으로 닦아주는 것이 좋습니다.
또한 초기 3개월 동안은
치실이나 치간칫솔 사용 시
수술 부위에 직접적인 자극이
가지 않도록 주의해야 합니다.

이번 사례처럼 치근이 노출되어
시림이 있거나 잇몸 라인이
비대칭인 경우에는
단순히 외형의 문제만이 아닙니다.
잇몸이 얇거나 퇴축된 부위는
외부 자극에 매우 취약하기 때문에,
적절한 시점에 잇몸 이식술을 통해
보호층을 만들어 주는 것이
가장 좋은 예방법입니다.

울산삼산동치과 참치과는
이름처럼 참된 마음과
정직한 진료로 믿을 수 있는 치과가
되려고 노력하고 있습니다.
참치과의 모든 의료진은
자연치아를 살리기 위한
치료를 우선적으로 생각하며
환자 한분 한분에게
꼭 맞는 수준 높은 치과 진료를
약속드리고 있습니다.
[참]의 뜻처럼
과잉 진료, 불법 위임이 없는
정직하고 꼼꼼한 진료를 약속드립니다.
앞으로도 저희 울산삼산동치과 참치과는
환자분들의 구강 상태를 세심하게 살펴
기능적 회복은 물론,
심미적인 만족까지 고려한
맞춤형 치료를 이어가겠습니다.
감사합니다.
*모든 증례 사진은 의료법 제23조, 제 56조에 의거하여,
당사자의 동의하에 게시하였습니다.
*치료 사진은 모두 본원에서 치료한 환자분의 사진입니다.
*치료 사진은 모두 동일인의 사진이며,
동일조건에서 촬영하였습니다.
*개인의 차이에 따라 시술 및 수술 후 부작용이 발생할 수 있으며,
의료진과 충분한 상담을 받으시기 바랍니다.